وبلاگ پرتو ۲۴

آخرین مقالات، اخبار و مطالب آموزشی

نوبت دهی مشکلات شایع کیسه صفرا
تصویربرداری
نوبت دهی مشکلات شایع کیسه صفرا

1404/11/25

درد کیسه صفرا معمولاً در نتیجه مشکلاتی مانند سنگ های صفراوی، التهاب کیسه صفرا ، یا انسداد مجاری صفراوی رخ می دهد. این در...

نشانه و درمان کمردرد شدید چیست ؟
تصویربرداری
نشانه و درمان کمردرد شدید چیست ؟

1404/11/19

کمردرد به دلایل مختلفی ایجاد میشود، اما برخی از انواع کمردرد ها می توانند نشانه مشکلات جدی تری باشند که نیاز به توجه فو...

نوبت دهی درباره ام آر آی مغز
تصویربرداری
نوبت دهی درباره ام آر آی مغز

1404/11/19

۱. ام آر آی مغز چگونه انجام میشود - میدان مغناطیسی: دستگاه ام آر آی از یک میدان مغناطیسی قوی استفاده می کند که...

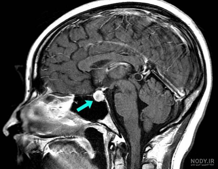
نوبت دهی ام آر آی هیپوفیز (مغز) با تزریق چگونه است و چرا انجام میشود؟
تصویربرداری
نوبت دهی ام آر آی هیپوفیز (مغز) با تزریق چگونه است و چرا انج...

1404/11/19

برای بررسی وجود تومورهای هیپوفیز (آدنوم های هیپوفیز) که ممکن است باعث مشکلات هورمونی شوند، استفاده می شود. ۲. بر...

نوبتدهی ام آر آی زانو
تصویربرداری
نوبتدهی ام آر آی زانو

1404/11/19

ام آر آی زانو چیست و چه مزایایی دارد؟ ام آر آی زانو یکی از دقیق ترین روش های تصویربرداری پزشکی است که با استفاده از *...

ام‌آر آی دفکوگرافی چیست ؟
MRI
ام‌آر آی دفکوگرافی چیست ؟

1404/11/19

دفکوگرافی چیست؟ راهنمای کامل MRI Defecography به زبان ساده اگر دچار یبوست مزمن، مشکل در دفع، احساس تخلیه ناقص یا افت...

سونوگرافی آنومالی اسکن
سونوگرافی
سونوگرافی آنومالی اسکن

1404/11/19

دوران بارداری پر از لحظات شیرین و البته پر از پرسش های بی پایان است. یکی از مهم ترین ایستگاه های این مسیر، سونوگرافی آنو...

ام آر آرتروگرافی (MR Arthrography) چیست؟
MRI
ام آر آرتروگرافی (MR Arthrography) چیست؟

1404/11/19

ام آر آرتروگرافی (MR Arthrography)، که گاهی به اختصار ام آر آرترو (MR Arthro) نامیده می شود، یک روش تصویربرداری پیشرفته...

MRI جنین
MRI
MRI جنین

1404/11/19

MRI جنین یکی از پیشرفته ترین روش های تصویربرداری تشخیصی در دوران بارداری است که بدون استفاده از اشعه یونیزان (مانند اشعه...