وبلاگ پرتو ۲۴

آخرین مقالات، اخبار و مطالب آموزشی

نوبت دهی ام آر آی کف لگن
تصویربرداری
نوبت دهی ام آر آی کف لگن

1404/12/02

ام آر آی کف لگن از امواج مغناطیسی و امواج رادیویی برای تصاویر با کیفیت بالا و دقیق از ساختارهای کف لگن استفاده میشود....

آر آی فانکشنال و اطلاعات درباره آن
تصویربرداری
آر آی فانکشنال و اطلاعات درباره آن

1404/11/29

ام آر آی فانکشنال تصویربرداری مغناطیسی هسته ای است که از سیگنال های مغناطیسی در سر برای تولید تصاویری از فعالیت مغزی است...

تصویربرداری
اوزون تراپی مزایا و درمان

1404/11/29

در این روش از گاز اوزون تراپی برای بهبود یا درمان برخی مشکلات سلامتی استفاده می شود. به دلیل خواص آنتی باکتریال، ضدویرو...

سنگ کیسه صفرا چطور تشکیل میشود و درمان آن چیست؟
تصویربرداری
سنگ کیسه صفرا چطور تشکیل میشود و درمان آن چیست؟

1404/11/29

سنگ کیسه صفرا زمانی تشکیل می شود که موادی مانند کلسترول یا بیلی روبین در صفرا (ماده ای که توسط کبد تولید و در کیسه صفر...

نوبت دهی ام آر آی برای کودکان
تصویربرداری
نوبت دهی ام آر آی برای کودکان

1404/11/29

ام آر آی کودکان از میدان مغناطیسی قدرتمند و امواج رادیویی برای ایجاد تصاویر با کیفیت بالا و دقیق از اندام های داخلی، با...

نوبت دهی ام آر وی یا ام آر ونوگرافی
تصویربرداری
نوبت دهی ام آر وی یا ام آر ونوگرافی

1404/11/29

ام آر ونوگرافی یا ام آر وی ، روش تصویربرداری است که برای رگ های خونی مغز استفاده می کند. این روش به پزشک اجازه کمک میکن...

نوبت دهی ام آر آی سینه
تصویربرداری
نوبت دهی ام آر آی سینه

1404/11/29

ام آر آی سینه روش تصویربرداری بی خطر است ، که برای بررسی بافت های نرم و ساختارهای داخلی سینه به کار می رود. از این روش ب...

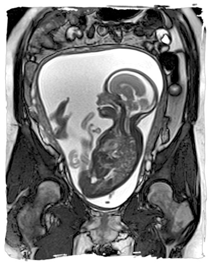
دلایل انجام ام آر آی جنین در بارداری
تصویربرداری
دلایل انجام ام آر آی جنین در بارداری

1404/11/29

ام آر آی جنین ، تصویربرداری است که به کمک آن می توان اطلاعات دقیقی درباره وضعیت جنین و رحم مادر به دست آورد. این روش به...

نوبت دهی ام آر آی جفت در بارداری
تصویربرداری
نوبت دهی ام آر آی جفت در بارداری

1404/11/29

ام آر آی جفت روش تصویربرداری پزشکی است که با استفاده از میدان های مغناطیسی و امواج رادیویی، تصاویر دقیقی از ساختار داخلی...